切换至 "中华医学电子期刊资源库"

第五届中国出版政府奖音像电子网络出版物奖提名奖

中国科技核心期刊

中国科学引文数据库(CSCD)来源期刊

中华重症医学电子杂志 ›› 2025, Vol. 11 ›› Issue (03) : 302 -310. doi: 10.3877/cma.j.issn.2096-1537.2025.03.014

病例报告

阵发性交感神经过度兴奋四例临床特征分析
周颖1, 张琳琳2, 陈光强1, 石广志1, 周建新3,()   
  1. 1 100070 北京,首都医科大学附属北京天坛医院重症医学科
    2 100029 北京,首都医科大学附属北京安贞医院神经重症监护室
    3 100038 北京,首都医科大学附属北京世纪坛医院重症医学科
  • 收稿日期:2025-04-27 出版日期:2025-08-28
  • 通信作者: 周建新
  • 基金资助:
    北京市属医院科研培育计划项目(PX2025015)

Clinical features of four patients with paroxysmal sympathetic hyperactivity

Ying Zhou1, Linlin Zhang2, Guangqiang Chen1, Guangzhi Shi1, Jianxin Zhou3,()   

  1. 1 Department of Critical Care Medicine, Beijing Tiantan Hospital, Capital Medical University, Beijing 100070, China
    2 Department of Neurocritical Care, Beijing Anzhen Hospital, Capital Medical University, Beijing 100029, China
    3 Department of Critical Care Medicine, Beijing Shijitan Hospital, Capital Medical University, Beijing 100038, China
  • Received:2025-04-27 Published:2025-08-28
  • Corresponding author: Jianxin Zhou
引用本文:

周颖, 张琳琳, 陈光强, 石广志, 周建新. 阵发性交感神经过度兴奋四例临床特征分析[J/OL]. 中华重症医学电子杂志, 2025, 11(03): 302-310.

Ying Zhou, Linlin Zhang, Guangqiang Chen, Guangzhi Shi, Jianxin Zhou. Clinical features of four patients with paroxysmal sympathetic hyperactivity[J/OL]. Chinese Journal of Critical Care & Intensive Care Medicine(Electronic Edition), 2025, 11(03): 302-310.

阵发性交感神经过度兴奋(PSH)是出血性卒中的少见并发症,在临床工作中容易误诊、漏诊。本文回顾性分析了4例出血性卒中后发生PSH患者的临床资料。其中,患者1、患者3和患者4为重症动脉瘤性蛛网膜下腔出血,患者2为血肿体积较大的脑出血。患者1的PSH与位于右侧额岛叶的血肿有关。患者2的PSH与位于右侧额顶颞岛叶及基底节的巨大囊肿有关。患者3的PSH与脑疝及中脑受压有关。患者4的PSH与脑积水的发生密切相关。所有患者的PSH发作都可通过镇静及镇痛治疗,或可降低颅内压的外科治疗(如引流或分流)终止。本文病例提示若中枢自主神经网络在岛叶、间脑或脑干处出现结构性或功能性的断连,都可能导致PSH的发生。因此,有上述脑区损伤的患者应警惕PSH的发生。

Paroxysmal sympathetic hyperactivity (PSH) is a rare complication of hemorrhagic stroke, thus, it could be easily misdiagnosed and overlooked. The clinical data of four PSH cases after hemorrhagic stroke were retrospectively analyzed. Patient 1, patient 3 and patient 4 suffered from severe aneurysmal subarachnoid hemorrhage. Patient 2 suffered from intracerebral hemorrhage with a large hematoma. PSH of patient 1 was related to a hematoma located in right frontal and insular lobe. PSH of patient 2 was related to a huge cyst which occupied right frontal, parietal, temporal and insular lobe, and right basal ganglia. In the case of patient 3, PSH was associated with cerebral herniation and the compressed midbrain. PSH of patient 4 was strongly related to the development of hydrocephalus. The PSH episodes of all patients responded well to sedation and analgesia treatment, or surgical treatment which could reduce the intracranial pressure, such as drainage or shunt. These cases indicate that both the structural and functional disconnection in insular lobe, diencephalon or brainstem within the central autonomic network could result in the development of PSH. Therefore, patients with lesions in these brain regions should be paid attention to the development of PSH.

表1 PSH评估量表及患者评分
表2 PSH患者的临床特征及治疗
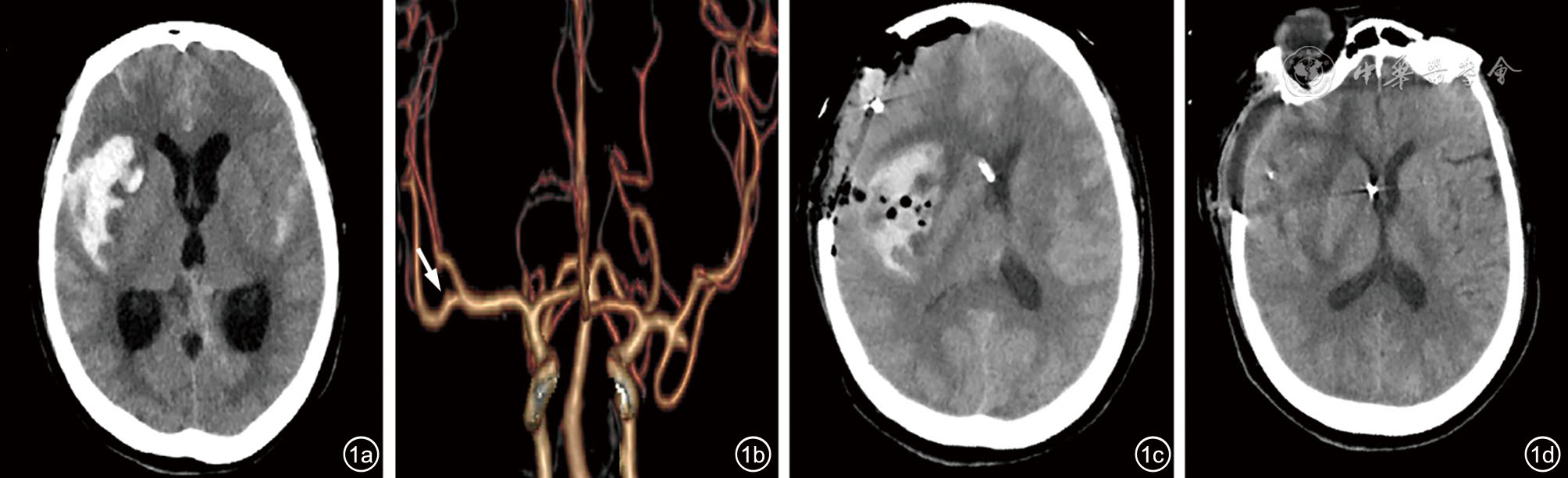
图1 病例1影像资料。图a:入院CT显示较厚的SAH,伴右外侧裂-岛叶血肿,脑室扩大、少许积血;图b:CTA显示右侧大脑中动脉分叉后下干可疑动脉瘤(箭头),术中证实为责任动脉瘤,同时可见左侧大脑中动脉分叉动脉瘤;图c:术后当天CT显示右额岛叶积血,中线左偏;图d:术后第14天CT显示位于右额岛叶、脑室及脑池的出血较前部分吸收。此时,患者的PSH症状已不再发作 注:SAH 为蛛网膜下腔出血;CTA 为CT 血管造影;PSH 为阵发性交感神经过度兴奋
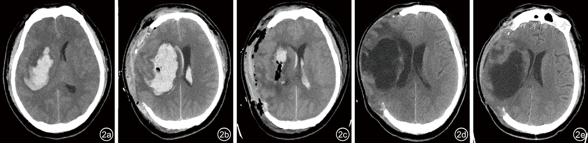
图2 病例2影像资料。图a:入院CT显示右基底节急性出血,中线左偏;图b:第1次开颅血肿清除术后CT显示右侧额叶、颞叶及基底节再出血、破入脑室,中线左偏;图c:第2次开颅血肿清除术后CT显示右基底节及脑室残余积血;图d:术后第13天CT显示位于右侧额顶颞岛叶及基底节的新发巨大囊肿,中线略右偏,脑室增大;图e:术后第20天CT显示囊肿引流后,脑室较前变窄。此时,患者的PSH症状已不再发作 注:PSH 为阵发性交感神经过度兴奋
图3 病例3影像资料。图a:入院CT显示较厚的SAH,伴脑室内出血;图b:CTA显示前交通动脉动脉瘤(箭头);图c:术后当天CT显示SAH、脑室内出血较前有所吸收;图d:术后第3天,在PSH发作后立即复查CT,较几小时前的CT无明显变化,仍可见广泛脑水肿 注:SAH 为蛛网膜下腔出血;CTA 为CT 血管造影;PSH 为阵发性交感神经过度兴奋
图4 病例4影像资料。图a:入院CT显示较厚的SAH,伴脑室内出血;图b:CTA显示前交通动脉动脉瘤(箭头);图c:术后当天CT显示SAH较前有所减少;图d:术后第33天CT显示脑积水;图e:术后第69天CT显示脑室-腹腔分流术后脑室较前缩小。此时,患者的PSH症状已不再发作 注:SAH 为蛛网膜下腔出血;CTA 为CT 血管造影;PSH 为阵发性交感神经过度兴奋
1
Baguley IJ, Perkes IE, Fernandez-Ortega JF, et al. Paroxysmal sympathetic hyperactivity after acquired brain injury: consensus on conceptual definition, nomenclature, and diagnostic criteria [J]. J Neurotrauma, 2014, 31(17): 1515-1520.
2
Perkes I, Baguley IJ, Nott MT, et al. A review of paroxysmal sympathetic hyperactivity after acquired brain injury [J]. Ann Neurol, 2010, 68(2): 126-135.
3
Baguley IJ. The excitatory: inhibitory ratio model (EIR model): an integrative explanation of acute autonomic overactivity syndromes [J]. Med Hypotheses, 2008, 70(1): 26-35.
4
Baguley IJ, Heriseanu RE, Cameron ID, et al. A critical review of the pathophysiology of dysautonomia following traumatic brain injury [J]. Neurocrit Care, 2008, 8(2): 293-300.
5
Talman WT, Florek G, Bullard DE. A hyperthermic syndrome in two subjects with acute hydrocephalus [J]. Arch Neurol, 1988, 45(9): 1037-1040.
6
Lv LQ, Hou LJ, Yu MK, et al. Prognostic influence and magnetic resonance imaging findings in paroxysmal sympathetic hyperactivity after severe traumatic brain injury [J]. J Neurotrauma, 2010, 27(11): 1945-1950.
7
Yin J, Wang W, Wang Y, et al. Risk factors and clinical outcomes of basilar artery occlusion presenting with paroxysmal sympathetic hyperactivity as the initial manifestation: a prospective study [J]. J Neurointerv Surg, 2024, 16(9): 892-896.
8
Li Z, Chen W, Zhu Y, et al. Risk factors and clinical features of paroxysmal sympathetic hyperactivity after spontaneous intracerebral hemorrhage [J]. Auton Neurosci, 2020, 225: 102643.
9
Muraoka S, Kumagai Y, Koketsu N, et al. Paroxysmal sympathetic hyperactivity in stroke [J]. World Neurosurg, 2023, 178: 28-36.
10
Liu Y, Jolly S, Pokala K. Prolonged paroxysmal sympathetic storming associated with spontaneous subarachnoid hemorrhage [J]. Case Rep Med, 2013, 2013: 358182.
11
Becker R, Benes L, Sure U, et al. Intrathecal baclofen alleviates autonomic dysfunction in severe brain injury [J]. J Clin Neurosci, 2000, 7(4): 316-319.
12
Hinson HE, Puybasset L, Weiss N, et al. Neuroanatomical basis of paroxysmal sympathetic hyperactivity: a diffusion tensor imaging analysis [J]. Brain Inj, 2015, 29(4): 455-461.
13
van Eijck MM, Sprengers MOP, Oldenbeuving AW, et al. The use of the PSH-AM in patients with diffuse axonal injury and autonomic dysregulation: a cohort study and review [J]. J Crit Care, 2019, 49: 110-117.
14
Nagai M, Hoshide S, Kario K. The insular cortex and cardiovascular system: a new insight into the brain-heart axis [J]. J Am Soc Hypertens, 2010, 4(4): 174-182.
15
Hachinski VC, Oppenheimer SM, Wilson JX, et al. Asymmetry of sympathetic consequences of experimental stroke [J]. Arch Neurol, 1992, 49(7): 697-702.
16
Oppenheimer SM, Gelb A, Girvin JP, et al. Cardiovascular effects of human insular cortex stimulation [J]. Neurology, 1992, 42(9): 1727-1732.
17
Barron SA, Rogovski Z, Hemli J. Autonomic consequences of cerebral hemisphere infarction [J]. Stroke, 1994, 25(1): 113-116.
18
Laowattana S, Zeger SL, Lima JA, et al. Left insular stroke is associated with adverse cardiac outcome [J]. Neurology, 2006, 66(4): 477-483; discussion 63.
19
Godo S, Irino S, Nakagawa A, et al. Diagnosis and management of patients with paroxysmal sympathetic hyperactivity following acute brain injuries using a consensus-based diagnostic tool: a single institutional case series [J]. Tohoku J Exp Med, 2017, 243(1): 11-18.
20
曾文晶, 霍康, 陈晨, 等. 重症卒中并发阵发性交感神经过度兴奋1例并文献复习 [J]. 中国卒中杂志, 2021, 16(6): 611-615.
21
Takahashi C, Hinson HE, Baguley IJ. Autonomic dysfunction syndromes after acute brain injury [J]. Handb Clin Neurol, 2015, 128: 539-551.
22
Wang D. Reticular formation and spinal cord injury [J]. Spinal Cord, 2009, 47(3): 204-212.
23
Meyfroidt G, Baguley IJ, Menon DK. Paroxysmal sympathetic hyperactivity: the storm after acute brain injury [J]. Lancet Neurol, 2017, 16(9): 721-729.
[1] 钟兴明. 神经重症多模态颅内压管理与治疗[J/OL]. 中华危重症医学杂志(电子版), 2025, 18(01): 1000-1000.
[2] 中国医师协会新生儿科医师分会, 北京医师协会新生儿科医师分会, 李秋平, 封志纯, 母得志, 唐军, 熊涛, 唐尚鸿. 早产儿脑室内出血预防专家共识(2025)[J/OL]. 中华妇幼临床医学杂志(电子版), 2025, 21(01): 1-14.
[3] 熊俊彦, 张化明. 血浆PKM2早期表达水平对动脉瘤性蛛网膜下腔出血严重程度及预后的预测价值[J/OL]. 中华神经创伤外科电子杂志, 2025, 11(04): 243-249.
[4] 陈靓, 曾义, 高安亮, 冯杰, 李春玲, 陈隆益, 徐如祥, 何永生. NICU自发性脑出血患者急诊开颅术后医院获得性肺炎的危险因素分析[J/OL]. 中华神经创伤外科电子杂志, 2025, 11(04): 250-255.
[5] 李晓东. 神经内镜下经额部锁孔纤维束外侧入路治疗基底节区脑出血[J/OL]. 中华神经创伤外科电子杂志, 2025, 11(02): 135-136.
[6] 张琳琳, 周建新. 重症神经:2024年度进展与展望[J/OL]. 中华重症医学电子杂志, 2025, 11(01): 11-16.
[7] 李新宇, 梁建锋. 神经内镜治疗基底节区脑出血技术探讨[J/OL]. 中华脑科疾病与康复杂志(电子版), 2025, 15(05): 317-320.
[8] 曾坚锋, 李钢, 刘成业, 王辉. 神经内镜微创手术治疗高血压脑出血的临床效果分析[J/OL]. 中华脑科疾病与康复杂志(电子版), 2025, 15(01): 26-30.
[9] 潘鹏宇, 李根, 刘冬冬, 孔睿, 李侑埕, 李佳朔, 杨新宇, 张文旭, 朱泽超, 田学实, 闻亮, 蒋为, 朱廷准, 冯华, 梁国标. 无创脑水肿监护仪扰动系数对动脉瘤性蛛网膜下腔出血后病情检测能力的临床研究[J/OL]. 中华脑科疾病与康复杂志(电子版), 2024, 14(06): 341-345.
[10] 王旭, 陈炳伟. 冠状动脉介入治疗后脑出血致尖顶军盔征心电图一例[J/OL]. 中华心脏与心律电子杂志, 2025, 13(03): 186-188.
[11] 赵悦, 刘勇, 李娟, 霍美玲. 肥胖合并颅内压增高患儿2例报道[J/OL]. 中华肥胖与代谢病电子杂志, 2025, 11(02): 153-156.
[12] 黄秋慧, 梁志坚. 人类免疫缺陷病毒感染患者并发脑出血的研究进展[J/OL]. 中华脑血管病杂志(电子版), 2025, 19(03): 255-259.
[13] 钱锦宏, 吴建东, 唐晓宇, 邓朋, 丁志良, 马冕. 3D 打印技术辅助神经内镜治疗幕上高血压脑出血破入脑室的临床效果[J/OL]. 中华脑血管病杂志(电子版), 2025, 19(02): 126-132.
[14] 王辉, 胡玉姣, 李鹏飞. 老年高血压脑出血患者脑血肿扩大影响因素的预测价值[J/OL]. 中华脑血管病杂志(电子版), 2025, 19(01): 48-53.
[15] 赵媛媛, 关欣, 欧梦仙, 王军. 动脉瘤性蛛网膜下腔出血一体化急救护理的研究进展[J/OL]. 中华脑血管病杂志(电子版), 2024, 18(06): 601-605.
阅读次数
全文


摘要


AI


AI小编
你好!我是《中华医学电子期刊资源库》AI小编,有什么可以帮您的吗?