切换至 "中华医学电子期刊资源库"

第五届中国出版政府奖音像电子网络出版物奖提名奖

中国科技核心期刊

中国科学引文数据库(CSCD)来源期刊

中华重症医学电子杂志 doi: 10.3877/cma.j.issn.2096-1537.2025.10.15-0018

所属专题: 有“依”可靠-全国MDR诊疗实践项目——优秀病例展示 经典病例

依拉环素治疗多重耐药鲍曼不动杆菌引起肺部感染合并血流感染病例报道
蒋小燕, 陈静(), 刘波, 吴明祥   
  1. 430000 武汉,武汉科技大学附属武汉亚心总医院重症医学科
  • 收稿日期:2025-05-22
  • 通信作者: 陈静

Clinical analysis of Eravacycline in the treatment of patients with pulmonary and bloodstream infections caused by Multidrug-Resistant Acinetobacter baumannii

Xiaoyan Jiang, Jing Chen(), bo Liu, Mingxiang Wu   

  1. Department of Intensive Care Unit, Wuhan Asia Heart General Hospital Affiliated to Wuhan University of Science and Technology, WuHan 430000, China
  • Received:2025-05-22
  • Corresponding author: Jing Chen
引用本文:

蒋小燕, 陈静, 刘波, 吴明祥. 依拉环素治疗多重耐药鲍曼不动杆菌引起肺部感染合并血流感染病例报道[J/OL]. 中华重症医学电子杂志, doi: 10.3877/cma.j.issn.2096-1537.2025.10.15-0018.

Xiaoyan Jiang, Jing Chen, bo Liu, Mingxiang Wu. Clinical analysis of Eravacycline in the treatment of patients with pulmonary and bloodstream infections caused by Multidrug-Resistant Acinetobacter baumannii[J/OL]. Chinese Journal of Critical Care & Intensive Care Medicine(Electronic Edition), doi: 10.3877/cma.j.issn.2096-1537.2025.10.15-0018.

目的

探讨依拉环素治疗多重耐药鲍曼不动杆菌引起肺部感染合并血流感染的疗效和安全性。

方法

回顾性分析2024年2月至8月武汉亚心总医院重症医学科收治的3例因多重耐药鲍曼不动杆菌引起肺部感染合并血流感染患者的临床资料,包括生化指标、细菌培养及药敏试验结果、抗菌药物种类、治疗前后影像学资料,评估患者临床疗效、用药不良反应等。

结果

3例患者均为男性,年龄38~58岁,分别在肺泡灌洗液、血液中检出鲍曼不动杆菌,药敏试验结果均提示对碳青霉烯类抗生素耐药。依拉环素治疗后患者临床表现、炎症指标及影像学检查均明显好转,且未发现依拉环素治疗相关不良反应。

结论

依拉环素对多重耐药鲍曼不动杆菌引起肺部感染合并血流感染具有良好的疗效及安全性。

Objective

To investigate the efficacy and safety of Eravacycline in the treatment of pulmonary infection combined with bloodstream infection caused by multidrug-resistant Acinetobacter baumannii.

Methods

A retrospective analysis was conducted on the clinical data of three patients admitted to the ICU of Wuhan Asia Heart General Hospital from February to August 2024. These patients had pulmonary infection and bloodstream infection caused by multidrug-resistant Acinetobacter baumannii. Biochemical indexes, bacterial culture and antimicrobial susceptibility test results, antimicrobial regimens, imaging data before and after treatment were collected to evaluate clinical efficacy and adverse drug reactions of patients.

Results

All three patients were male, aged 38-58 years. Acinetobacter baumannii was detected in bronchoalveolar lavage fluid and blood cultures, with susceptibility testing indicating resistance to carbapenem antibiotics. After treatment of Eravacycline, significant improvements were observed in clinical manifestations, inflammatory indicators, and imaging examinations. No Eravacycline-related adverse reactions were identified.

Conclusion

Eravacycline demonstrates favorable efficacy and safety in treating pulmonary infection combined with bloodstream infection caused by multidrug-resistant Acinetobacter baumannii.

表1 3株鲍曼不动杆菌体外药敏结果(MIC,μg/ml)
表2 3例患者治疗前后感染指标及血培养/血NTS变化情况
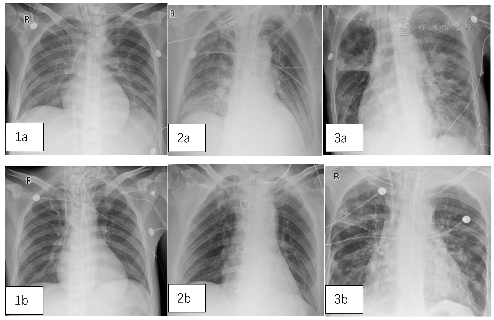
图1 3例患者治疗前后肺部影像学对比。图1a、2a、3a分别为病例1、2、3治疗前,图1b、2b、3b分别为病例1、2、3治疗2周后
图2 3例患者治疗前后肺部影像学对比。图1A、2A、3A分别为病例1、2、3治疗前,图1B、2B、3B分别为病例1、2、3治疗2周后
表3 3例患者治疗前后肝功能对比
1
Zhanel GG, Cheung D, Adam H, et al. Review of Eravacycline, a novel Fluorocycline antibacterial agent [J]. Drugs, 2016, 76(5): 567-588.
2
Scott CJ, Zhu E, Jayakumar RA, et al. Efficacy of Eravacycline versus best previously available therapy for adults with pneumonia due to difficult-to-treat resistant (DTR) Acinetobacter baumannii [J]. Ann Pharmacother, 2022, 56(12): 1299-1307.
3
Grossman TH, Starosta AL, Fyfe C, et al. Target- and resistance-based mechanistic studies with TP-434, a novel Fluorocycline antibiotic [J]. Antimicrob Agents Chemother, 2012, 56(5): 2559-2564.
4
Kunz Coyne, Ashlan J, Sara Alosaimy, et al. Eravacycline, the first four years: health outcomes and tolerability data for 19 hospitals in 5 U.S. regions from 2018 to 2022 [J]. Microbiol Spectr, 2024, 12(1): e0235123.
5
Alosaimy S, Morrisette T, Lagnf AM, et al. Clinical outcomes of Eravacycline in patients treated predominately for Carbapenem-resistant Acinetobacter baumannii [J]. Microbiol Spectr, 2022, 10(5): e0047922.
6
贾建超, 王奥钰, 张文平, 等. 依拉环素治疗碳青霉烯耐药鲍曼不动杆菌肺部感染效果观察 [J]. 中华实用诊断与治疗杂志, 2024, 38(10): 1057-1062.
7
Falcone M, Giordano C, Leonildi A, et al. Clinical features and outcomes of infections caused by metallo- β -lactamase–producing enterobacterales: a 3-year prospective study from an endemic area [J].Clin Infect Dis, 2024, 15: ciad725.
8
Magill SS, Edwards JR, Bamberg W, et al. Multistate point-prevalence survey of health care-associated infections [J]. N Engl J Med, 2014, 370(13): 1198-1208.
9
Tacconelli E, Carrara E, Savoldi A, et al. Discovery, research, and development of new antibiotics: the WHO priority list of antibiotic-resistant bacteria and tuberculosis [J]. Lancet Infect Dis, 2018, 18(3): 318-327.
10
Perez F, Hujer AM, Hujer KM, et al. Global challenge of multidrug-resistant Acinetobacter baumannii [J]. Antimicrob Agents Chemother, 2007, 51(10): 3471-3484.
11
Tamma PD, Heil EL, Justo JA, et al. Infectious Diseases Society of America 2024 Guidance on the Treatment of Antimicrobial-Resistant Gram-Negative Infections [J]. Clin Infect Dis, 2024, 7: ciae403.
12
Zeng M, Xia J, Zong Z, et al. Guidelines for the diagnosis, treatment, prevention and control of infections caused by Carbapenem-resistant gram-negative bacilli [J]. J Microbiol Immunol Infect, 2023, 56(4): 653-671.
13
Alosaimy S, Molina KC, Bouchard J, et al. Early real-world evidence in the use of Eravacycline for the management of draconian infections [C]. Philadelphia, USA, 2020: 909539.
14
Jackson MN, Ortwine J, Wei W, et al. Combination Eravacycline therapy for Carbapenem resistant Acinetobacter baumannii pneumonia [J]. Open Forum Infect Dis, 2022, 9(2): 492-497.
15
Lunsted S, Molina KC, Barber GR, et al. Real world use of Eravacycline: a case series [C]. Las Vegas, NV , USA: ASHP Midyear Clinical Meeting & Exhibition, 2019.
No related articles found!
阅读次数
全文


摘要


AI


AI小编
你好!我是《中华医学电子期刊资源库》AI小编,有什么可以帮您的吗?