切换至 "中华医学电子期刊资源库"

第五届中国出版政府奖音像电子网络出版物奖提名奖

中国科技核心期刊

中国科学引文数据库(CSCD)来源期刊

依拉环素治疗多重耐药鲍曼不动杆菌引起肺部感染合并血流感染病例报道

  • 蒋小燕 ,
  • 陈静 , ,
  • 刘波 ,
  • 吴明祥
展开
  • 430000 武汉,武汉科技大学附属武汉亚心总医院重症医学科

通信作者:

陈静,Email:

Copy editor: 卫轲

收稿日期: 2025-05-22

  网络出版日期: 2025-10-16

版权

未经授权,不得转载、摘编本刊文章,不得使用本刊的版式设计,除非特别声明,本刊刊出的所有文章不代表中华医学会和本刊编委会的观点。本刊为电子期刊,以网刊形式出版。

Clinical analysis of Eravacycline in the treatment of patients with pulmonary and bloodstream infections caused by Multidrug-Resistant Acinetobacter baumannii

  • Xiaoyan Jiang ,
  • Jing Chen , ,
  • bo Liu ,
  • Mingxiang Wu
Expand
  • Department of Intensive Care Unit, Wuhan Asia Heart General Hospital Affiliated to Wuhan University of Science and Technology, WuHan 430000, China

Corresponding author:

Chen Jing, Email:

Received date: 2025-05-22

  Online published: 2025-10-16

Copyright

Copyright by Chinese Medical Association No content published by the journals of Chinese Medical Association may be reproduced or abridged without authorization. Please do not use or copy the layout and design of the journals without permission. All articles published represent the opinions of the authors, and do not reflect the official policy of the Chinese Medical Association or the Editorial Board, unless this is clearly specified.

摘要

目的

探讨依拉环素治疗多重耐药鲍曼不动杆菌引起肺部感染合并血流感染的疗效和安全性。

方法

回顾性分析2024年2月至8月武汉亚心总医院重症医学科收治的3例因多重耐药鲍曼不动杆菌引起肺部感染合并血流感染患者的临床资料,包括生化指标、细菌培养及药敏试验结果、抗菌药物种类、治疗前后影像学资料,评估患者临床疗效、用药不良反应等。

结果

3例患者均为男性,年龄38~58岁,分别在肺泡灌洗液、血液中检出鲍曼不动杆菌,药敏试验结果均提示对碳青霉烯类抗生素耐药。依拉环素治疗后患者临床表现、炎症指标及影像学检查均明显好转,且未发现依拉环素治疗相关不良反应。

结论

依拉环素对多重耐药鲍曼不动杆菌引起肺部感染合并血流感染具有良好的疗效及安全性。

本文引用格式

蒋小燕 , 陈静 , 刘波 , 吴明祥 . 依拉环素治疗多重耐药鲍曼不动杆菌引起肺部感染合并血流感染病例报道[J]. 中华重症医学电子杂志, 2025 : 1 -11 . DOI: 10.3877/cma.j.issn.2096-1537.2025.010.15-0018

Abstract

Objective

To investigate the efficacy and safety of Eravacycline in the treatment of pulmonary infection combined with bloodstream infection caused by multidrug-resistant Acinetobacter baumannii.

Methods

A retrospective analysis was conducted on the clinical data of three patients admitted to the ICU of Wuhan Asia Heart General Hospital from February to August 2024. These patients had pulmonary infection and bloodstream infection caused by multidrug-resistant Acinetobacter baumannii. Biochemical indexes, bacterial culture and antimicrobial susceptibility test results, antimicrobial regimens, imaging data before and after treatment were collected to evaluate clinical efficacy and adverse drug reactions of patients.

Results

All three patients were male, aged 38-58 years. Acinetobacter baumannii was detected in bronchoalveolar lavage fluid and blood cultures, with susceptibility testing indicating resistance to carbapenem antibiotics. After treatment of Eravacycline, significant improvements were observed in clinical manifestations, inflammatory indicators, and imaging examinations. No Eravacycline-related adverse reactions were identified.

Conclusion

Eravacycline demonstrates favorable efficacy and safety in treating pulmonary infection combined with bloodstream infection caused by multidrug-resistant Acinetobacter baumannii.

鲍曼不动杆菌在ICU中是一种常见的多重耐药病原体,可引起呼吸系统、血液系统、泌尿系统等部位感染,面对有限的有效抗生素选择,多重耐药鲍曼不动杆菌感染治疗面临诸多挑战,导致较高的病死率。依拉环素属于一种全合成的四环素类衍生物,与传统四环素相比,进行了化学结构改造,创造性引入氟原子,增强了抗菌活性,改善了药物的组织渗透性及代谢稳定性,降低了耐药性。近年来国外一些医疗中心将依拉环素应用于治疗腹腔、肺部及皮肤的感染,提示依拉环素对鲍曼不动杆菌、肺炎克雷伯菌具有抗菌作用[1,2,3]。目前,依拉环素常用于治疗常见的革兰氏阴性菌、革兰氏阳性菌感染在内的多重耐药菌感染,主要包括复杂性腹腔感染,肺部感染和血流感染等[4,5,6]。然而,目前国内关于该药治疗多重耐药鲍曼不动杆菌引起肺部感染合并血流感染的经验报道较少。武汉亚心总医院(简称我院)于2024年2月至8月应用依拉环素治疗3例因多重耐药鲍曼不动杆菌致肺部合并血流感染患者,所有患者均在肺部及血液分离到多重耐药鲍曼不动杆菌。3例患者临床抗感染治疗积极,现收集其临床资料,综合分析患者的临床特征、细菌药敏结果、抗菌药物治疗的种类和疗程、生化指标,评估患者临床疗效、用药不良反应等。结合患者临床及实验室指标,复习文献,并进行讨论分析。具体报道如下。

一、病例资料

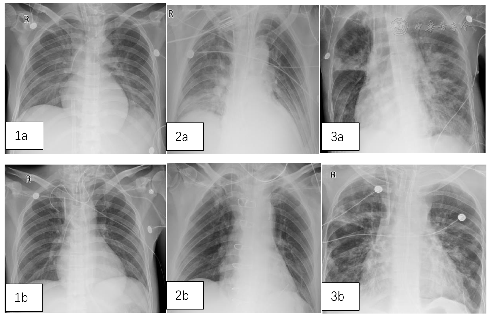
病例1:患者男性,38岁,体质量53 kg,因"恶心、呕吐、乏力1周"于2024年2月5日入我院重症医学科。既往无特殊病史。当地医院诊治1周,病程中出现循环衰竭,考虑暴发性心肌炎,行气管插管、体外膜肺氧合(extracorporeal membrane oxygenation,ECMO)植入后转入我院重症医学科。入院查体:体温:36℃,呼吸频率:16次/min(气管插管接呼吸机辅助呼吸,VC-SIMV,PEEP:6 cmH2O(1 cmH2O=0.098 kPa),VT:380 ml,FiO2 60%,f 16次/min),脉搏:110次/min,血压:105/40 mmHg(1 mmHg=0.133 kPa)[ECMO辅助,去甲肾上腺素0.24 μg/(kg•min)],镇静镇痛状态,双侧瞳孔等大等圆,直径约2 mm,对光反射迟钝,球结膜水肿,巩膜黄染,颈静脉无怒张,甲状腺不大;双肺呼吸音低,未闻及明显干湿啰音;心界不大,心率110次/min,律齐,各瓣膜听诊区未闻及杂音;腹软,肝脾肋下未及;双下肢未见水肿,左侧足背动脉可触及,右侧足背动脉搏动弱,病理反射未引出;双下肢散在瘢痕伴色素沉着,左足第一、二足趾间,可见干裂、破溃,已结痂,左小腿外侧可见3 cm×2 cm瘢痕;余查体不能配合。入院诊断:(1)暴发性心肌炎,心原性休克,急性心力衰竭,心功能Ⅳ级(NYHA分级);(2)肺部感染,胸腔积液;(3)2型糖尿病;(4)肝功能不全;(5)急性肾功能不全;(6)血小板减少;(7)脓毒血症。入院先后使用抗生素:美罗培南、利奈唑胺、氟康唑、莫西沙星、米卡芬净治疗。2月13日患者行肺泡灌洗液二代测序技术(next-generation sequencing,NGS):鲍曼不动杆菌、光滑念珠菌、白念珠菌。痰培养:鲍曼不动杆菌,药敏:替加环素、米诺环素中介,为碳青霉烯耐药鲍曼不动杆菌(CRAB)。调整抗生素为多黏菌素B 50万单位 q12 h(未予负荷剂量)联合头孢哌酮舒巴坦4.5 g q6 h静脉泵入治疗7 d,后患者出现高热,炎症指标持续偏高水平,再次复查(2月21日)肺泡灌洗液NGS:鲍曼不动杆菌。且双部位血培养(2月24日)均检出CRAB,考虑CRAB入血,再次调整抗生素为多黏菌素B 50万单位 q12 h联合替加环素100 mg q12 h静脉泵入治疗5 d,患者持续低热,炎症因子水平高,2月29日复查双部位血培养:CRAB(2024年3月3日结果回示)。考虑治疗效果不佳,更换抗生素为多黏菌素B 50万单位q12 h联合依拉环素50 mg q12 h静脉泵入治疗2周,复查血培养转阴、痰培养转阴;用药期间无不良反应。
病例2:患者男性,58岁,体质量55 kg,因"胸痛8 d"于2024年6月10日入我院重症医学科。既往高血压病病史20余年,最高收缩压达180 mmHg,自行服用降压药物控制,具体不详;糖尿病病史7年余,口服降糖药控制血糖,控制尚可,具体不详;2006年行胆囊切除术、阑尾切除术,具体不详。当地医院诊治1周,考虑"急性非ST段抬高型心肌梗死",行急诊PCI(Percutaneous Coronary Intervention,PCI)术,术后第6天患者出现窦性停搏,行气管插管、ECMO植入后转入我院重症医学科。入院查体:体温:36.3℃,心率:78次/min,呼吸频率:18次/min(气管插管接呼吸机辅助,SIMV模式,FiO2 50%,VT 380 ml,RR 18次/min,PEEP 10 cmH2O),脉搏:78次/min,血压:121/63 mmHg[ECMO辅助,去甲肾上腺素0.05 μg/(kg•min)],镇静镇痛状态(RASS -4分,BPS 1分),颈软,颈静脉无怒张,双侧瞳孔等大等圆,直径约3 mm,对光反射存在,双肺呼吸音清,双肺未闻及明显湿啰音。心界不大,心率78次/min,律齐,各瓣膜听诊区未闻及杂音。腹平软,肝脾肋下未及,双下肢无水肿。生理反射存在,病理反射未引出。腹部可见一长约15 cm陈旧性手术瘢痕。留置胃管引流出血性液体。骶尾部皮肤可见一1 cm×1 cm破溃。入院诊断:(1)冠状动脉粥样硬化性心脏病,急性非ST段抬高型心肌梗死,冠状动脉支架植入术后状态,心原性休克,心功能Ⅳ级(killip分级);(2)应激性溃疡;(3)2型糖尿病;(4)高血压病3级,极高危;(5)肝功能不全;(6)急性肾功能不全;(7)受压区Ⅱ期压疮。入院完善胸片提示肺部感染,6月11日肺泡灌洗液NGS:鲍曼不动杆菌、阴沟肠杆菌复合群、白念珠菌。外周血NTS:未检出致病病原体。入院先后使用抗生素哌拉西林他唑巴坦、莫西沙星、美罗培南抗感染。6月14日患者发热,胸片肺部感染加重,6月15日肺泡灌洗液NGS:鲍曼不动杆菌、白念珠菌。6月16日外周血NTS:鲍曼不动杆菌,耐药基因(+)。6月18日双部位血培养:CRAB,药敏:替加环素耐药、头孢哌酮/舒巴坦中介,使用多黏菌素B 50万单位q12 h(未予负荷剂量)联合依拉环素75 mg q12 h静脉泵入治疗2周,6月24日、6月28日复查血培养两次均转阴;用药期间无不良反应。
病例3:患者男性,39岁,体质量47 kg,因"发热、咳嗽、咳痰25 d,呼吸困难22 d"于2024年8月18日入我院重症医学科。既往患1型糖尿病20年,长期使用胰岛素控制血糖,血糖未监测;患糖尿病肾病、CKD5期2年,间断血液净化治疗;患高血压病1年,最高血压180/110 mmHg,自行规律服用降压药物,具体不详。当地医院诊治20余天,痰培养多重耐药鲍曼不动杆菌,使用替加环素、头孢哌酮舒巴坦治疗10余天,疗效不佳,患者高热、感染性休克转入我院重症医学科。入院查体:体温:39.4℃,心率:132次/min,呼吸频率:24次/min(气切处接呼吸机辅助通气,SIMV+ASB,FiO2 40%,VT 400 ml,RR 24次/min,PEEP 7 cmH2O),血压:78/42 mmHg,浅昏迷,GCS评分:6分(E1V1M4),颈软,颈静脉无怒张。双肺呼吸音粗,双肺可闻及湿啰音。心界不大,心率132次/min,律齐,各瓣膜听诊区未闻及杂音。腹平软,肝脾肋下未及,双下肢无水肿。生理反射存在,病理反射未引出。骶尾部皮肤可见2 cm×3 cm压紫,中间可见2 cm×2 cm破溃,表面湿润,左侧髋部可见3 cm×2 cm压红,中间可见2 cm×2 cm破溃,中间可见右髋关节可见一长约6 cm的陈旧性手术瘢痕,右下肢可见一长约33 cm的陈旧性手术瘢痕,右手背可见多处破溃已结痂,大肘部可见9 cm×7 cm瘀斑,左侧踝关节可见2 cm×2 cm紫癍,右侧膝关节外侧可见3.5 cm×4 cm破溃已结痂。入院诊断:(1)鲍曼不动杆菌性肺炎,呼吸衰竭;(2)感染性休克;(3)1型糖尿病;(4)糖尿病肾病,CKD5期;(5)高血压病3级,极高危;(6)受压区Ⅲ期压疮。8月19日血NTS:鲍曼不动杆菌。8月20日肺泡灌洗液NGS:碳青霉烯耐药鲍曼不动杆菌、铜绿假单胞菌。给予多黏菌素B 50万单位q12 h(未予负荷剂量)联合依拉环素50 mg q12 h静脉泵入治疗2周,8月25日复查血NTS、8月29日复查血培养均转阴。用药期间无不良反应。

二、病原菌药敏结果、依拉环素抗感染治疗的效果及安全性评估

(一)药敏结果

3例患者血培养/血NTS均培养出CRAB,其体外药敏结果见表1
表1 3株鲍曼不动杆菌体外药敏结果(MIC,μg/ml)
抗生素 1号菌 2号菌 3号菌
美罗培南 ≥16(R) ≥16(R) ≥16(R)
亚胺培南 ≥16(R) ≥16(R) ≥16(R)
替加环素 4.0 (I)  ≥8(R) 4.0(I)
米诺环素 8.0(I) 8.0(I) 4.0(S)
头孢哌酮/舒巴坦 ≥64(R) 32.0(I) ≥64(R)
哌拉西林/他唑巴坦 ≥128/4(R) ≥128/4(R) ≥128/4(R)

注:MIC值为最低抑菌浓度;I=中介,R=耐药

(二)抗感染治疗的效果

3例患者病原学检查结果均提示为CRAB,其中病例1使用了多黏菌素B分别联合头孢哌酮舒巴坦及替加环素,临床症状未见好转,及时更换为多黏菌素B联合依拉环素抗感染治疗;3例患者应用依拉环素联合多黏菌素B治疗后临床症状改善,炎症指标下降,血培养转阴(表2)。
表2 3例患者治疗前后感染指标及血培养/血NTS变化情况
患者 CRP(mg/L) PCT(ng/ml) WBC((109/L) NEUT% 血培养/血NTS
病例1 治疗前 28.7 4.333 9.28 81.4 阳性
治疗后 64.9 2.98 9.2 69 阴性
病例2 治疗前 41.44 1.028 6.95 90.6 阳性
治疗后 3.71 0.366 5.05 67.9 阴性
病例3 治疗前 266.41 42.948 8.28 92.5 阳性
治疗后 30.37 6.673 7.63 82.5 阴性

注:治疗前为应用依拉环素前1 d,治疗后为停用依拉环素后1 d。CRP为C反应蛋白;PCT为降钙素原;WBC为白细胞计数;NEUT%为中性分叶粒细胞百分比

图1 3例患者治疗前后肺部影像学对比。图1a、2a、3a分别为病例1、2、3治疗前,图1b、2b、3b分别为病例1、2、3治疗2周后
图2 3例患者治疗前后肺部影像学对比。图1A、2A、3A分别为病例1、2、3治疗前,图1B、2B、3B分别为病例1、2、3治疗2周后

(三)安全性评估

3例患者在使用依拉环素抗感染治疗期间均未发现依拉环素相关的腹泻、输液相关刺激等不良反应。肝功能指标无明显变化(表3);3例患者使用依拉环素治疗前均有肾功能不全,其中病例1患者入院期间持续无尿、床旁CRRT治疗,肾功能指标不能反映肾脏真实受损情况,但该患者随访一年后尿量恢复正常。病例2患者入院时合并肾功能不全,用药期间未见明显肾功能恶化、无尿等情况,出院时肾功能指标肌酐及尿素氮值恢复正常。病例3患者基础为糖尿病肾病、CKD5期患者,长期行血液净化治疗,依拉环素使用未见对肾功能有影响。3例患者均完成常规疗程的依拉环素抗感染治疗,且未因药物相关不良反应而停药或药物减量。
表3 3例患者治疗前后肝功能对比
患者   ALT(U/L) AST(U/L) 总胆红素(μmol/L)
病例1 治疗前 20 - 22.7
  治疗后 8 - 13.7
病例2 治疗前 2361 3507 20.2
  治疗后 34 - 12.3
病例3 治疗前 11 - 42.4
  治疗后 8 - 27

注:治疗前为应用依拉环素前1 d,治疗后为停用依拉环素后1 d。ALT为丙氨酸氨基转移酶;AST为天门冬氨酸氨基转移酶

三、讨论

CRAB是医院获得性肺炎(hospital acquired pneumonia,HAP)和呼吸机相关性肺炎(ventilator-associatedpneumonia,VAP)的主要病原体之一,在ICU,鲍曼不动杆菌所致的VAP归因病死率可高达54%[5]。研究表明CRAB引发血流感染的30 d病死率更高[7]。碳青霉烯类抗菌药物是治疗肠杆菌目细菌感染强效的β-内酰胺类药物,一旦出现碳青霉烯类耐药或治疗过程中继发耐药,将给抗感染治疗带来极大困难,导致治疗失败及增加患者病死率[8]。CRAB感染给临床治疗带来极大挑战,得到了全世界的广泛关注[9,10]。因此迫切需要有更多可以覆盖CRAB的药物和治疗方案来应对挑战。
CRAB耐药机制包括产碳青霉烯类酶、青霉素结合蛋白亲和力降低、细菌膜通道蛋白改变使透入药量减少等。四环素类药物经被动扩散和依赖能量的主动转运两种方式通过细菌细胞壁进入细胞内,能可逆地与细菌核糖体30S亚基A位结合,阻止氨酰基‑tRNA与mRNA‑核糖体复合物受体部位结合,抑制细菌蛋白质的合成,达到抑制细菌生长的作用。依拉环素是首个氟环素类抗菌药物,通过引入氟原子,增强了抗菌活性,降低了耐药性。依拉环素与细菌核糖体30S亚基结合位点的亲和力是四环素的14倍,而替加环素仅为四环素的5倍[3]。《美国传染病学会2024年抗菌药物耐药革兰氏阴性菌感染治疗指引》和《中国碳青霉烯类耐药革兰氏阴性菌感染的诊断、治疗及防控指南》均提到依拉环素体外抗菌活性比替加环素高2~8倍[11,12]
国外多中心回顾性研究及观察性研究提示:依拉环素真实世界中对CRAB感染疗效显著,主要用于腹腔感染,呼吸道、皮肤感染次之[13,14,15]。目前未查到国内有中心应用依拉环素治疗CRAB血流感染的病例报道,本研究观察的3例CRAB肺部感染引起血流感染患者,在诊断确立后第一时间完善耐药酶型鉴定和药敏试验,其中病例1先后选用多黏菌素B联合头孢哌酮舒巴坦和多黏菌素B联合替加环素治疗,效果均不佳;病例2替加环素耐药,头孢哌酮舒巴坦中介,而对于CRAB引起的肺部和血流感染指南和共识均推荐联合用药进行治疗;病例3于外院使用替加环素联合头孢哌酮舒巴坦治疗10余天,疗效不佳。由于该3例患者在接受治疗时本中心未开展依拉环素药敏试验,参考指南描述依拉环素对于CRAB的最低抑菌浓度(minimum inhibitory concentration,MIC)值比替加环素低2~8倍,且真实世界数据显示依拉环素对于CRAB感染患者临床疗效显著[5],患者对于现有治疗CRAB感染的药物疗效不佳,故选择依拉环素为基础的联合抗感染治疗方案。3例患者均足量使用,取得了良好的治疗效果,且没有发现与治疗相关的不良反应,也无因药物不良反应而终止治疗或药物减量的情况发生。上述CRAB引起肺部感染合并血流感染患者的临床观察结果显示了依拉环素对耐药菌感染治疗有一定的疗效及安全性,为CRAB引起肺部合并血流感染的治疗提供了更多的药物选择,对改善该类患者的预后有重要意义。
1
Zhanel GG, Cheung D, Adam H, et al. Review of Eravacycline, a novel Fluorocycline antibacterial agent [J]. Drugs, 2016, 76(5): 567-588.

2
Scott CJ, Zhu E, Jayakumar RA, et al. Efficacy of Eravacycline versus best previously available therapy for adults with pneumonia due to difficult-to-treat resistant (DTR) Acinetobacter baumannii [J]. Ann Pharmacother, 2022, 56(12): 1299-1307.

3
Grossman TH, Starosta AL, Fyfe C, et al. Target- and resistance-based mechanistic studies with TP-434, a novel Fluorocycline antibiotic [J]. Antimicrob Agents Chemother, 2012, 56(5): 2559-2564.

4
Kunz Coyne, Ashlan J, Sara Alosaimy, et al. Eravacycline, the first four years: health outcomes and tolerability data for 19 hospitals in 5 U.S. regions from 2018 to 2022 [J]. Microbiol Spectr, 2024, 12(1): e0235123.

5
Alosaimy S, Morrisette T, Lagnf AM, et al. Clinical outcomes of Eravacycline in patients treated predominately for Carbapenem-resistant Acinetobacter baumannii [J]. Microbiol Spectr, 2022, 10(5): e0047922.

6
贾建超, 王奥钰, 张文平, 等. 依拉环素治疗碳青霉烯耐药鲍曼不动杆菌肺部感染效果观察 [J]. 中华实用诊断与治疗杂志, 2024, 38(10): 1057-1062.

7
Falcone M, Giordano C, Leonildi A, et al. Clinical features and outcomes of infections caused by metallo- β -lactamase–producing enterobacterales: a 3-year prospective study from an endemic area [J].Clin Infect Dis, 2024, 15: ciad725.

8
Magill SS, Edwards JR, Bamberg W, et al. Multistate point-prevalence survey of health care-associated infections [J]. N Engl J Med, 2014, 370(13): 1198-1208.

9
Tacconelli E, Carrara E, Savoldi A, et al. Discovery, research, and development of new antibiotics: the WHO priority list of antibiotic-resistant bacteria and tuberculosis [J]. Lancet Infect Dis, 2018, 18(3): 318-327.

10
Perez F, Hujer AM, Hujer KM, et al. Global challenge of multidrug-resistant Acinetobacter baumannii [J]. Antimicrob Agents Chemother, 2007, 51(10): 3471-3484.

11
Tamma PD, Heil EL, Justo JA, et al. Infectious Diseases Society of America 2024 Guidance on the Treatment of Antimicrobial-Resistant Gram-Negative Infections [J]. Clin Infect Dis, 2024, 7: ciae403.

12
Zeng M, Xia J, Zong Z, et al. Guidelines for the diagnosis, treatment, prevention and control of infections caused by Carbapenem-resistant gram-negative bacilli [J]. J Microbiol Immunol Infect, 2023, 56(4): 653-671.

13
Alosaimy S, Molina KC, Bouchard J, et al. Early real-world evidence in the use of Eravacycline for the management of draconian infections [C]. Philadelphia, USA, 2020: 909539.

14
Jackson MN, Ortwine J, Wei W, et al. Combination Eravacycline therapy for Carbapenem resistant Acinetobacter baumannii pneumonia [J]. Open Forum Infect Dis, 2022, 9(2): 492-497.

15
Lunsted S, Molina KC, Barber GR, et al. Real world use of Eravacycline: a case series [C]. Las Vegas, NV , USA: ASHP Midyear Clinical Meeting & Exhibition, 2019.

文章导航

/


AI


AI小编
你好!我是《中华医学电子期刊资源库》AI小编,有什么可以帮您的吗?