切换至 "中华医学电子期刊资源库"

第五届中国出版政府奖音像电子网络出版物奖提名奖

中国科技核心期刊

中国科学引文数据库(CSCD)来源期刊

中华重症医学电子杂志 ›› 2025, Vol. 11 ›› Issue (03) : 311 -314. doi: 10.3877/cma.j.issn.2096-1537.2025.03.015

病例报告

经皮扩张气管切开围手术期体位对神经重症患者颅内压的影响一例
孙美丽1, 曾倩1, 李宏亮2,()   
  1. 1 100070 北京,首都医科大学附属北京天坛医院重症医学科
    2 100038 北京,首都医科大学附属北京世纪坛医院重症医学科
  • 收稿日期:2024-11-06 出版日期:2025-08-28
  • 通信作者: 李宏亮

The impact of perioperative positioning during percutaneous dilatational tracheostomy on intracranial pressure in neurocritically ill patients: a case report

Meili Sun1, Qian Zeng1, Hongliang Li2,()   

  1. 1 Department of Critical Care Medicine, Beijing Tiantan Hospital, Capital Medical University, Beijing 100070, China
    2 Department of Critical Care Medicine, Beijing Shijitan Hospital, Capital Medical University, Beijing 100070, China
  • Received:2024-11-06 Published:2025-08-28
  • Corresponding author: Hongliang Li
引用本文:

孙美丽, 曾倩, 李宏亮. 经皮扩张气管切开围手术期体位对神经重症患者颅内压的影响一例[J/OL]. 中华重症医学电子杂志, 2025, 11(03): 311-314.

Meili Sun, Qian Zeng, Hongliang Li. The impact of perioperative positioning during percutaneous dilatational tracheostomy on intracranial pressure in neurocritically ill patients: a case report[J/OL]. Chinese Journal of Critical Care & Intensive Care Medicine(Electronic Edition), 2025, 11(03): 311-314.

经皮扩张气管切开术(PDT)以其创伤小、安全性高的特点,目前已成为气管切开的主流术式。为了充分暴露气管,在围手术期需将患者摆放成肩部垫高、颈部过伸的体位,但由此可能引起颅内压(ICP)升高进而对患者的远期神经功能预后产生不利影响。本文通过回顾1例脑死亡患者在急性脑损伤后2周左右接受PDT的围手术期ICP监测数据,观察到自气管切开手术体位摆放完毕至恢复初始体位期间,ICP始终较基线水平升高3~5 mmHg,虽然这一现象与患者预后之间似乎并无明显关联,但仍然提示对理想的ICP管理产生一定程度的负面影响。尽管早期气管切开具有提高患者舒适性、减少镇静药物使用等优点,但如何平衡神经重症患者经皮气管切开的操作时机并避免因ICP升高引起的神经系统继发性损伤,仍有待未来大样本量的临床研究予以明确。

Percutaneous dilatational tracheotomy (PDT), characterized by its minimal invasiveness and high safety profile, has become the mainstream technique for tracheotomy. To achieve adequate tracheal exposure, the procedure requires positioning the patient with shoulder elevation and neck hyperextension. However, this specific maneuver may increase intracranial pressure (ICP), which could potentially lead to adverse effects on long-term neurological outcomes. This case report presents the perioperative ICP monitoring data of a brain-death patient who underwent PDT approximately two weeks after acute brain injury. Our observations indicated that ICP remained persistently elevated by approximately 3-5 mmHg above the baseline from the establishment of the surgical position until the patient was returned to the initial supine position. Although this ICP elevation did not appear to directly influence the outcome in this particular case (given the patient's brain-death status), it nonetheless suggests a potential compromise to optimal ICP management. While early tracheostomy offers benefits such as enhanced patient comfort and reduced sedation requirements, balancing the timing of PDT in neurocritically ill patients against the risk of procedure-related ICP elevation and secondary neurological injury warrants further investigation through large-scale clinical studies.

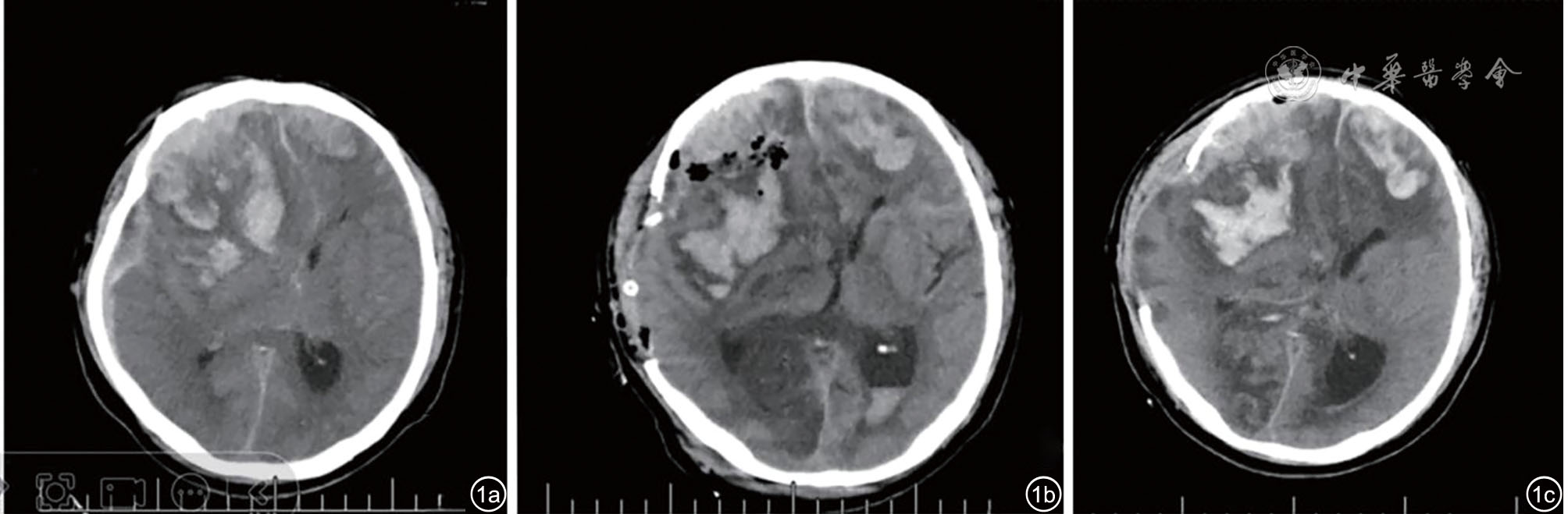
图1 患者颅脑CT检查(局部幕上切面)。图1a为入院当天(术前);图1b为入院当天术后:可见左额积血较前增多,右顶枕叶、双侧胼胝体压部新发低密度梗死灶;图1c为术后第5天:脑内低密度范围较前无显著变化,脑疝,脑组织弥漫性肿胀
图2 患者PDT围手术期ICP变化。T0:基线;T1:抬高床头30°;T2:床头放平;T3:垫高肩部;T4:恢复体位,T3与T4之前间隔38 min 注:PDT为经皮扩张气管切开术;ICP为颅内压;1 mmHg=0.133 kPa
1
Kurtz P, Fitts V, Sumer Z, et al. How does care differ for neurological patients admitted to a neurocritical care unit versus a general ICU? [J]. Neurocrit Care, 2011, 15(3): 477-480.
2
Kuechler JN, Abusamha A, Ziemann S, et al. Impact of percutaneous dilatational tracheostomy in brain injured patients [J]. Clin Neurol Neurosurg, 2015, 137: 137-141.
3
Freeman BD, Stwalley D, Lambert D, et al. High resource utilization does not affect mortality in acute respiratory failure patients managed with tracheostomy [J]. Respir Care, 2013, 58(11): 1863-1872.
4
Kato T, Konishi T, Kurazumi T, et al. Steady-state cerebral blood flow and dynamic cerebral autoregulation during neck flexion and extension in seated healthy young adults [J]. Physiol Rep, 2023, 11(4): e15622.
5
Bini G, Russo E, Antonini MV, et al. Impact of early percutaneous dilatative tracheostomy in patients with subarachnoid hemorrhage on main cerebral, hemodynamic, and respiratory variables: a prospective observational study [J]. Front Neurol, 2023, 14: e1105568.
6
Chesnut R, Aguilera S, Buki A, et al. A management algorithm for adult patients with both brain oxygen and intracranial pressure monitoring: the Seattle International Severe Traumatic Brain Injury Consensus Conference (SIBICC) [J]. Intensive Care Med, 2020, 46(5): 919-929.
7
国家卫生健康委员会脑损伤质控评价中心, 中华医学会神经病学分会神经重症协作组, 中国医师协会神经内科医师分会神经重症专业委员会, 等. 中国成人脑死亡判定标准与操作规范(第二版) [J]. 中华医学杂志, 2019, 99(17): 1288-1292.
8
李宏亮, 田野, 马燕娟, 等. 经皮扩张气管切开术标准操作流程在神经重症患者中的应用 [J/OL]. 中华重症医学电子杂志, 2021, 7(3): 219-227.
9
Trouillet JL, Collange O, Belafia F, et al. Tracheotomy in the intensive care unit: guidelines from a French expert panel [J]. Ann Intensive Care, 2018, 8(1): 8-37.
10
Kleffmann J, Pahl R, Ferbert A, et al. Factors influencing intracranial pressure (ICP) during percutaneous tracheostomy [J]. Clin Neurol Neurosurg, 2020, 195: e105869.
11
典慧娟, 范艳竹, 王琳琳, 等. 体位及头高位对重型颅脑损伤病人颅内压和脑灌注压的影响 [J]. 护理研究, 2020, 34(14): 2520-2523.
12
曹炜, 王翠雪, 徐珊珊, 等. 不同头高位对aSAH患者术后颅内压及脑灌注压的影响 [J/OL]. 中华重症医学电子杂志, 2022, 8(2): 121-125.
13
Steiner LA, Andrews PJ. Monitoring the injured brain: ICP and CBF [J]. Br J Anaesth, 2006, 97(1): 26-38.
14
Khawari S, Al-Mohammad A, Pandit A, et al. ICP during head movement: significance of the venous system [J]. Acta Neurochirurgica, 2023, 165(11): 3243-3247.
15
Pedersen SH, Andresen M, Lilja-Cyron A, et al. Lumbar puncture position influences intracranial pressure [J]. Acta Neurochirurgica, 2021, 163(7): 1997-2004.
16
Sagirov AF, Sergeev TV, Shabrov AV, et al. Postural influence on intracranial fluid dynamics: an overview [J]. J Physiol Anthropol, 2023, 42(1): 5-17.
17
Imperiale C, Magni G, Favaro R, et al. Intracranial pressure monitoring during percutaneous tracheostomy “percutwist” in critically ill neurosurgery patients [J]. Anesth Analg, 2009, 108(2): 588-592.
18
Rubiano AM, Figaji A, Hawryluk GW. Intracranial pressure management: moving beyond guidelines [J]. Curr Opin Crit Care, 2022, 28(2): 101-110.
19
Robba C, Poole D, McNett M, et al. Mechanical ventilation in patients with acute brain injury: recommendations of the European Society of Intensive Care Medicine consensus [J]. Intensive Care Med, 2020, 46(12): 2397-2410.
[1] 钟兴明. 神经重症多模态颅内压管理与治疗[J/OL]. 中华危重症医学杂志(电子版), 2025, 18(01): 1000-1000.
[2] 徐珍娥, 杨娅丽, 徐晨霞, 向巴曲西, 王家蓉. 无创脑水肿监测技术在高原地区重度窒息新生儿脑水肿中的临床应用[J/OL]. 中华妇幼临床医学杂志(电子版), 2024, 20(01): 114-119.
[3] 尹燕燕, 刘爱贤. 多重耐药菌感染呼吸机相关性肺炎的危险因素及预后分析[J/OL]. 中华实验和临床感染病杂志(电子版), 2024, 18(02): 83-90.
[4] 陈美仁, 戴逸骅, 张茹, 戴英波. "蛙泳"俯卧位在经皮肾镜术中的应用[J/OL]. 中华腔镜泌尿外科杂志(电子版), 2023, 17(06): 581-586.
[5] 朱常琰, 付志强, 胡玉秋, 段金鑫, 郑楚莲, 周泉波. 腹腔镜下肝右后叶切除术的体位综述[J/OL]. 中华肝脏外科手术学电子杂志, 2024, 13(02): 231-234.
[6] 冯铭, 孙洪涛. 动脉瘤性蛛网膜下腔出血的颅内压监测与管理[J/OL]. 中华神经创伤外科电子杂志, 2024, 10(04): 248-253.
[7] 潘冬生, 梁国标. 颅脑创伤治疗的最新进展与未来趋势[J/OL]. 中华神经创伤外科电子杂志, 2024, 10(04): 193-197.
[8] 张馨月, 韩帅, 张舒石, 李文臣, 张舒岩. 颅内压监测技术在创伤性颅脑损伤治疗中的应用[J/OL]. 中华神经创伤外科电子杂志, 2023, 09(04): 246-252.
[9] 周颖, 张琳琳, 陈光强, 石广志, 周建新. 阵发性交感神经过度兴奋四例临床特征分析[J/OL]. 中华重症医学电子杂志, 2025, 11(03): 302-310.
[10] 胡贤瑞, 马惠, 赵科洪, 陈港琳, 何竟. 基于倾向性评分匹配分析重症脑血管疾病患者早期康复物理治疗的临床效果[J/OL]. 中华脑科疾病与康复杂志(电子版), 2025, 15(04): 208-213.
[11] 司楠, 孙洪涛. 创伤性脑损伤后肾功能障碍危险因素的研究进展[J/OL]. 中华脑科疾病与康复杂志(电子版), 2024, 14(05): 300-305.
[12] 鲁悦, 李伟, 庄宗, 王娟, 赵鹏来, 杭春华. 脑出血继发吉兰-巴雷综合征二例报道并文献复习[J/OL]. 中华脑科疾病与康复杂志(电子版), 2024, 14(02): 120-123.
[13] 刘政委, 仪立志, 尹夕龙, 孔文龙, 纠智松, 张文源. 锥颅血肿外引流与神经内镜手术治疗老年基底节区高血压性脑出血的疗效分析[J/OL]. 中华脑科疾病与康复杂志(电子版), 2023, 13(05): 299-303.
[14] 万晨昕, 龚雨舒, 许美霞, 许涛. 苯磺酸瑞马唑仑用于神经重症患者抢救性气管插管的有效性和安全性[J/OL]. 中华临床医师杂志(电子版), 2024, 18(12): 1104-1110.
[15] 赵悦, 刘勇, 李娟, 霍美玲. 肥胖合并颅内压增高患儿2例报道[J/OL]. 中华肥胖与代谢病电子杂志, 2025, 11(02): 153-156.
阅读次数
全文


摘要


AI


AI小编
你好!我是《中华医学电子期刊资源库》AI小编,有什么可以帮您的吗?