Home    中文  
 
  • Search
  • lucene Search
  • Citation
  • Fig/Tab
  • Adv Search
Just Accepted  |  Current Issue  |  Archive  |  Featured Articles  |  Most Read  |  Most Download  |  Most Cited

Chinese Journal of Critical Care & Intensive Care Medicine(Electronic Edition) ›› 2025, Vol. 11 ›› Issue (04): 335-339. doi: 10.3877/cma.j.issn.2096-1537.2025.04.002

• Expert Opinion • Previous Articles    

Diagnosis and treatment strategy of pulmonary complications after cardiac surgery guided by the EIT lung ventilation imaging features

Tao Song1,,2, Siyi Yuan1, Huaiwu He1,()   

  1. 1 Department of Critical Care Medicine, Peking Union Medical College Hospital, Chinese Academy of Medical Sciences & Peking Union Medical College, State Key Laboratory of Difficult and Rare Diseases, Beijing 100730, China
    2 Department of Intensive Care Unit, Tianjin Medical University General Hospital, Tianjin 300052, China
  • Received:2024-09-12 Online:2025-11-28 Published:2026-03-24
  • Contact: Huaiwu He

Abstract:

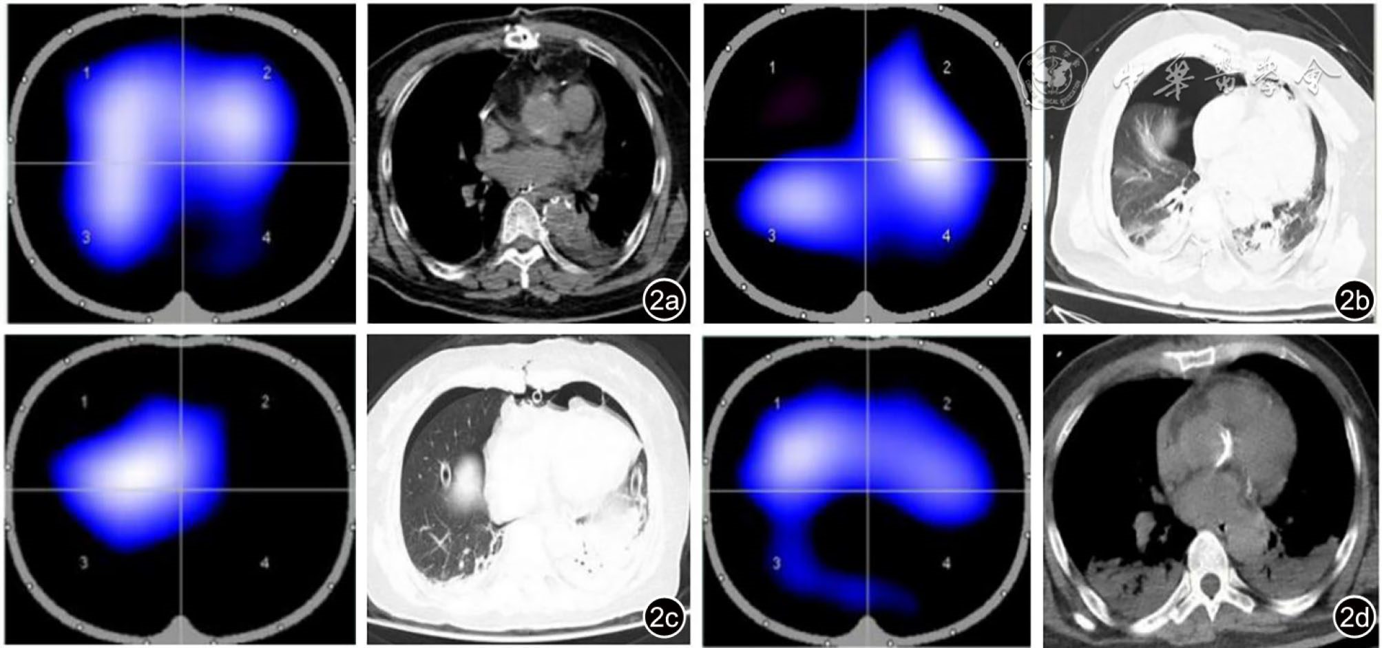
Postoperative pulmonary complications (PPC) are one of the most challenging complications faced by patients after cardiac surgery, and are the major cause of postoperative mortality. Electrical impedance tomography (EIT) is a kind of noninvasive bedside lung ventilation monitoring technology which is used increasingly in intensive respiratory management. Recently, it has been found that EIT lung ventilation imaging features can be used to predict the occurrence of PPC after abdominal surgery. Based on the practical experience of EIT application in our center, this paper summarizes the PPC diagnosis and treatment strategy based on EIT lung ventilation image feature, in order to provide reference for the application of EIT technology in cardiac surgery.

Key words: Electrical impedance tomography, Postoperative pulmonary complications, Cardiac surgery

京ICP 备07035254号-19
Copyright © Chinese Journal of Critical Care & Intensive Care Medicine(Electronic Edition), All Rights Reserved.
Tel: 010-51322627 E-mail: ccm@cma.org.cn
Powered by Beijing Magtech Co. Ltd